Cabinet d'orthodontie du Dr Renard
Orthodontiste à Créteil

Cabinet d'orthodontie du Dr Renard
Orthodontiste à Créteil

Blog - Page 4

Le quad helix : traitement du palais et de l’alignement des dents

Le quad helix : traitement du palais et de l’alignement des dents

Contention de Hawley

Contention de Hawley

 gouttières invisibles (avec taquets)

 gouttières invisibles (avec taquets)

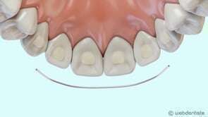
Fil de contention

Fil de contention

Extraction en orthodontie et réhabilitation par implant

Extraction en orthodontie et réhabilitation par implant

Implant orthodontique : redressement d’une molaire

Implant orthodontique : redressement d’une molaire

Orthodontie : la traction d'une canine palatine incluse

Orthodontie : la traction d'une canine palatine incluse

Les urgences orthodontiques 

Les urgences orthodontiques 

Nettoyage des brackets avec brossette interdentaire

Nettoyage des brackets avec brossette interdentaire

La chirurgie orthognatique – correction de l’asymétrie faciale

La chirurgie orthognatique – correction de l’asymétrie faciale

La chirurgie orthognatique – rétrognathie mandibulaire

La chirurgie orthognatique – rétrognathie mandibulaire

Appareil multi-attache en céramique

Appareil multi-attache en céramique

Affichage des articles 37-48 sur 116

Création par Webdentiste

Connexion